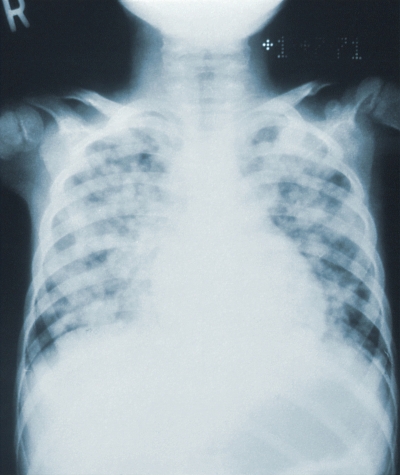
폐암은 폐에 비정상적인 암세포가 증식하여 덩어리를 형성하고 인체에 해를 미치는 것을 말합니다. 즉 폐에 생긴 악성종양을 말하며 폐 자체에 암이 발생하거나 다른 장기에서 생긴 암이 폐로 전이되어 발생합니다.
폐암 발병률과 폐암 사망률은 지속적으로 증가하고 있으며 폐암 진단을 받고 5년 이내 사망률은 86%나 된다고 합니다. 폐암은 재발이나 전이가 많고 완치율이 낮은 암입니다. 다른 암에 비해 사망률이 높습니다.



그렇다면 폐암 원인은 무엇일까요? 폐암의 가장 큰 발병 요인은 흡연입니다. 흡연자는 비 흡연자에 비해 폐암 발병확률이 15배~80배가량 높습니다.
또 다른 원인으로는 석면, 크롬 등의 물질에 노출되어 발병하거나, 대기오염과 같은 환경요인, 유전적 요인, 호흡기 질환의 과거력 등이 폐암 발병의 요인이 됩니다.
이러한 폐암이 생기면 어떤 증상이 나타나는지 폐암 초기증상에 대해 알아보도록 할게요.



폐암 초기증상
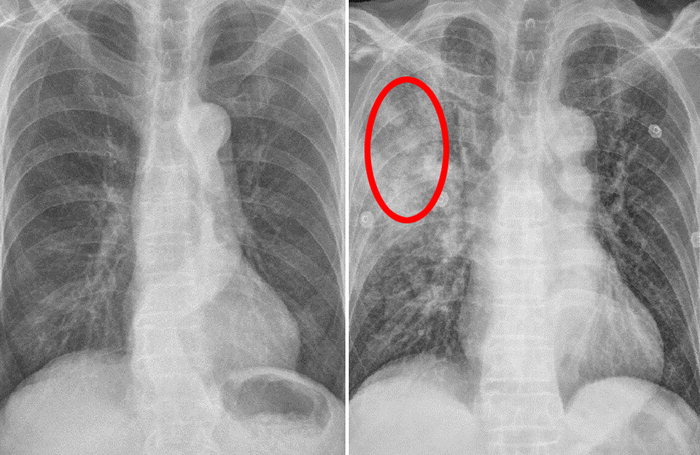
폐암은 초기에 나타나는 증상이 거의 없습니다. 그래서 더욱 무서운 암이 아닐까 하는데요 초기를 지나 중기가 되면 증상이 나타나기 시작하는데 이때 나타는 증상도 폐암 증상이라고 단정 짓기가 쉽지 않은 가벼운 증상들이라 진단이 매우 어렵습니다.
1. 폐암 초기증상 기침
폐암 초기증상 중 가장 흔하게 나타나는 증상이 기침입니다. 폐암환자의 2/3 이상이 잦은 기침을 호소합니다. 기침은 폐암 증상이라고 단정 지을 수 없기 때문에 그냥 지나치는 경우도 많습니다.
2. 폐암 초기증상 흉통
폐암이 생기면 초기증상으로 흉통이 나타날 수 있습니다. 폐암으로 인한 흉통은 가슴의 한쪽에서 발생하며 지속적이고 악화된다고 합니다. 오랜 시간 지속되는 흉통이 있다면 정확한 진단을 받아보는 것이 좋아요.






3. 폐암 초기증상 빈혈
폐암으로 인해 출혈이 발생하면 혈중 적혈구 수가 감소하여 빈혈이 발생할 수 있어요. 폐암으로 인해 종양이 커지면서 주변 조직에 압박을 가해 혈액순환을 방해하고 출혈의 가능성이 있어 빈혈이 생깁니다.
또한 빈혈이 생기면 두통이나 피로감등의 증상이 동반될 수 있습니다.
4. 폐암 초기증상 가래
잦은 기침과 같이 가래가 지속적으로 생길 수 있습니다. 감기 증상과 유사하지만 잦은 기침과 함께 가래가 자꾸 생성된다면 폐암을 의심해 볼 수 있습니다.






5. 폐암 초기증상 객혈
기침을 할 때 피 섞인 가래나 피를 뱉어내는 증상이 나타날 수 있어요. 종양이 폐조직 전체로 점차 퍼지게 되면 폐 모세혈관과 세정맥까지 침범하여 출혈을 일으키게 됩니다.
객혈은 폐암이 아니더라도 반드시 병원에 내원하여 검진을 받아보는 것이 좋습니다.
6. 폐암 초기 증상 호흡곤란
폐암으로 인해 폐를 둘러싼 흉막에 흉수가 차고, 종양이 기관지를 막거나 흉수에 의해 폐포의 공기가 급속히 빠지는 등의 이유로 호흡곤란이 유발됩니다. 흉부 통증 폐암은 흉부 통증을 유발합니다.
폐암이 흉막과 흉벽을 침범하여 통증이 생기고 암이 더욱 진행되면서 통증이 지속됩니다.






7. 폐암 초기증상 목이 쉰 소리
폐와 기관 사이로 목소리를 내는 성대 신경이 지나가는데 폐암이 이 신경을 침범하면서 성대에 마비 증상이 와서 쉰 목소리가 납니다.
8. 폐암 초기증상 부종
폐암 초기에 나타나는 증상은 아니지만 폐암이 어느정도 진행되면 나타날 수 있는 증상으로 부종이 있습니다.
폐암이 림프절로 전이 될 경우 대정맥을 압박하여 혈액의 흐름이 원활하지 못하게 되며 부종이 발생할 수 있어요.
정상적으로 순환되지 못한 혈액은 상반신 쪽에 머물게 되고 시간이 길어지며 얼굴, 목, 팔등이 붓는 증상이 나타날 수 있습니다.






9. 폐암 초기증상 면역력 저하
폐암으로 생긴 종양들이 면역세포에 영향을 미칠 수 있어요. 종양으로 인해 면역 시스템의 조절 기전을 간섭받게 되면 면역력 저하로 이어지게 됩니다.
이는 다른 질병이나 감염에 대한 저항력 감소로 이어지기 때문에 자칫 더 위험할 수 있어요.
10. 폐암 초기증상 체중감소
폐암으로 인해 인체에 악 영향이 미치며 종양의 성장과 대사변화로 인해 체중이 감소해요.
식욕부진, 식사량 감소 등이 동반됩니다. 다른 폐암초기증상과 함께 체중이 감소한다면 정확한 원인을 파악하기 위해 빠르게 병원에 내원해 보는 것이 좋습니다.






폐암 예방법
폐암을 예방하는 방법은 금연 이외에는 확실히 밝혀진 것이 없다고 합니다. 폐암의 90%는 금연으로 예방이 가능하다고 합니다.
담배를 끊은 이후에도 폐암 발병 위험의 감소 속도가 느리기 때문에 원래 담배를 안 피우던 사람보다 폐암 위험도가 20년 앞선다고 합니다.
폐암의 원인과 예방법 및 초기증상에 대해 알아보았습니다. 잘 확인하시어 건강을 잘 지키고 의심 가는 증상이 있다면 빠르게 병원 진료를 받아보시는 게 좋아요! 이상 폐암 초기증상에 대한 포스팅을 마치겠습니다.



장염 증상과 장염에 좋은 음식 (장염 빨리 낫는 법)
장염은 바이러스나 박테리아, 기생충 등으로 인해 장에 염증이 생기는 질환을 말합니다. 박테리아나 기생충, 바이러스 등과 같은 원인균이 음식이나 사람과 접촉하여 전염되면서 발생합니다.
lovechoco.loveshjs.com
유방암 초기증상과 유방암에 좋은 음식들
유방암은 유방에 발생하는 모든 악성종양을 통틀어 말하는 것입니다. 유방에 비정상적인 조직이 계속 자라거나 다른 장기에 퍼지는 치명적인 병으로 매해 유방암 발생률이 증가하는 추세라고
lovechoco.loveshjs.com
갑상선암 증상 단순한 '혹'이라고 무시하면 위험해요
갑상선 암은 다른 암에 비해 전이가 느리고 생존율이 높아 효자암이라고 불리는 병이죠? 젊은 사람들에서도 많이 발병하고 있으며 조기 검진만 충분히 잘 이루어진다면 초기에 발견하여 빠른
lovechoco.loveshjs.com
댓글